全口重建病例 ~ 薄如蟬翼的鼻竇腔 困難與挑戰
對於牙科醫師來說,上顎後牙區缺牙最怕遇到薄如蟬翼的鼻竇腔,整體治療不僅費時,病友常常經歷多次手術,期間的煎熬不可言喻,我們就來看看另一個困難與挑戰。莊小姐,41歲,上顎後牙區缺牙長達數十年,目前都是用前牙吃東西,去過桃園地區的診所就診,但得到答案不甚滿意,也去過長庚醫院牙科就診,也是不了了之。
在我還在台北慈濟醫院時候,不小心掛到我的診,當時我還是個小小的總醫師,也是想要諮詢上顎後牙區植牙,當時我剛好要離職,就請他轉掛別的主治醫師,繼續植牙手術評估。隨著時間過去,也因為轉給了其他醫師,漸漸地就遺忘了這個病友。
在淡水開業兩年過後的某天,接到莊小姐來電:蔡醫師啊,我找你找好久,你到底去哪了?
我:我從醫院離開後,就在淡水看診啊,我一直都在啊!(心裡還在納悶,你不是給XX醫師處理好了,我還記得我將這位患者轉給醫院某位醫師處理。)
莊小姐:不管啦,你地址給我,我要去找你啦!
(心裡默想,通常這種事情通常是我搞砸了來找我談判的,準備要上演一場醫療糾紛!但心裡想當初我記得只有做右下後牙區的牙橋啊,應該是沒有啥問題才對。一切都沒關係,準備見招拆招!)
我:喔,好啊,那我們就約某天下午....診所地址是新北市淡水區.....
---------------------------------------------------------------------------
在一個安靜的午後,忽然聽到一聲推門聲音,正當我還在昏沉沉的午睡還沒睡醒,突然間,聽到:唉呦ㄟ啊.....蔡醫師啊,啊你跑來這麼遠的地方,是不用通知喔。病友嗓門又超大聲,病友的姊姊也一起隨同前來想要看牙齒,診所瞬間變得像菜市場一樣熱鬧。
昏沉沉的醒過來看到是莊小姐,我回答:您好啊,好久不見!
莊小姐:啊你是啊沒睡飽啊,你剛物記得我.....
(台語發音,前後句都要加上啊起頭與啊結尾)
我:當然記得啊,你不是給XX醫師處理好了嗎?
莊小姐:啊你是不想看到我啊!
我:沒有啦,牙齒有什麼問題,讓我瞧一瞧。(這時才逐漸清醒過來)
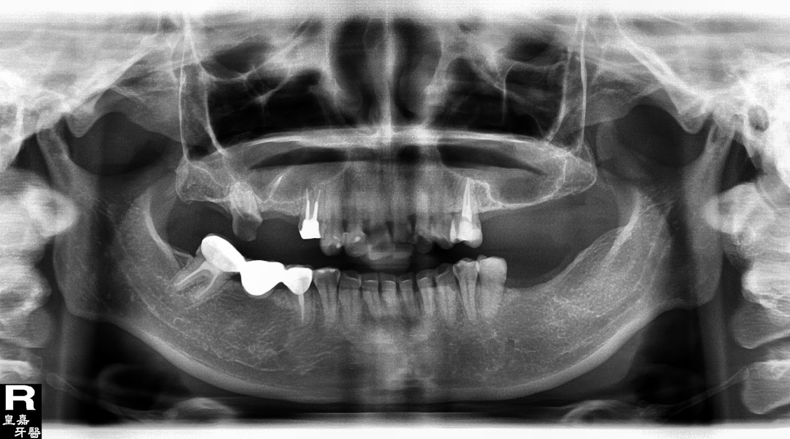
在經過口內與X光片檢查之後,莊小姐賴著說,不管啦,看是要多少錢,要把後面的牙齒做起來啦。我看了環口X光片,心裡默想,薄如蟬翼的鼻竇腔,困難與挑戰。
------------------------------------------------------------------------------------------------
言歸正傳,在面對這麼薄的鼻竇腔,(懂的醫師就知道我在說啥),我們為了
- 減少病友手術次數,
- 減少等待傷口癒合的時間,
- 減少病人再次面對植牙手術的壓力,
後續按照一般常規步驟,完成臨時假牙製作,病友覺得後面多了牙齒可以咬,吃東西好咬太多了,再也不用像老鼠一樣用前牙吃東西。
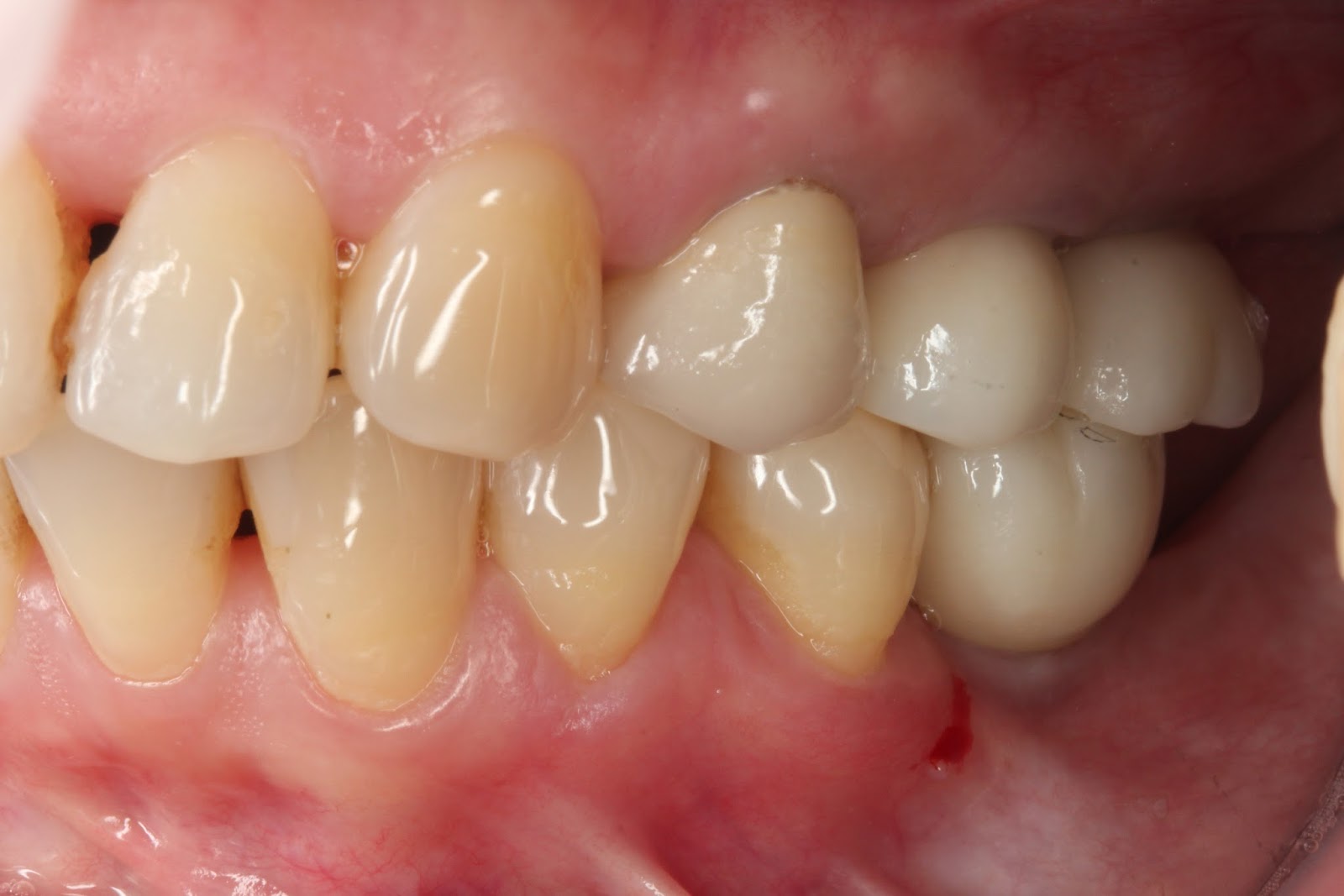
手術過後四個月,我們按部就班,完成最終全鋯冠與全瓷冠假牙部分。回想起整個病例的過程,手術部分真的是超級大的壓力,幸好老天保佑,一切都依照計畫順利進行,病友們也得到最滿意的結果。一次次看到自己滿意的結果,老天爺真的是有保佑,希望後續病友們定期檢查,就當作好朋友們聊聊天,問候一下感覺到溫暖而親切的醫病關係。
治療前全口X光片
治療後全口X光片
治療後右側穩定咬合
治療後左側穩定咬合
精采預告:嗓門超大的病友姐姐也要處理牙齒,另一個困難與挑戰!
蔡璧原醫師
E-mail: tsaiby@gmail.com


沒有留言:
張貼留言